Disable Preloader
Home
About Us
Animated Videos
Teeth
Tooth Pain Clinic
Root Canal Treatment
Orthodontic Treatment
Invisalign
Smile Designing
Composite Filling
Teeth Whitening
Wisdom Tooth Surgeries
Treatment for Fractured Jaws
Orthognathic Surgery
TMJ (Joint) Problems
All Minor Surgeries
Zirconium Crown and Bridge
Gums
Oral Bad Smell
Ultra Sonic Teeth Cleaning
Treatment for Gingivitis, Periodontitis
Flap Surgery
Treatment for Pigmented Gums
Reposition of Gums
Soft Tissue Enhancement Procedures
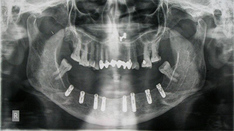
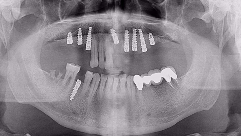
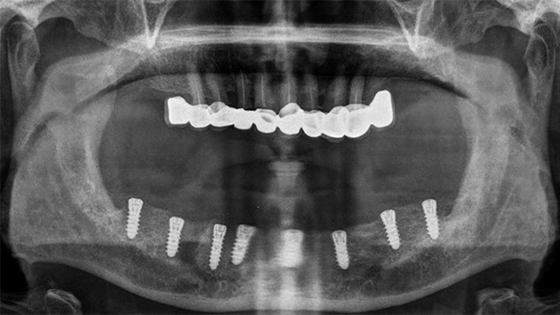
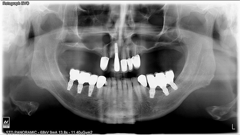
Implants
LIFE TIME WARRANTY IMPLANTS
Teeth in ONE Hour Implants
Immediate Extraction & Immediate Loading Implants
Implants without SINUS LIFT Procedures
Pterogoid Implants
Morse Tapper Connection Implants
Laser Made Implants
All on 4 Implants
All on 6 Implants
All on 8 Implants
FULL MOUTH REHABILITATION with IMPLANTS
Implant Patients
International Patients
Our Strength
Book an Appointment
WELCOME TO DR32TEETH.COM
BOOK AN APPOINTMENT
Your preferred location for treatment:
S.R. Nagar
Mehdipatnam
Nationality:
Indian
Foreigner
You have a query for:
Teeth
Gums
Implants
Any additional services you require:
Hotel accommodations
Local site seeing
Arrange a cab
Upload a File: Photo / X - Ray
(Only JPEG & PNG)
Book Now
Reset